Prosthetic Rehabilitation Services
Dr. Ashwitha’s Dental Studio
Prosthetic Rehabilitation Services in Viman Nagar, Pune
Restoring Confidence, Comfort, and Function with Advanced Prosthetic Care
At Dr. Ashwitha’s Dental Studio, we believe that every individual deserves to live with confidence, comfort, and complete functionality — no matter what challenges life brings. Our specialized Prosthetic Rehabilitation Services in Viman Nagar, Pune are designed to help patients who have lost a part of their body or oral structures due to trauma, surgery, or congenital conditions.
As a leading dental clinic in Pune, we combine advanced prosthetic techniques with personalized care to restore both aesthetics and function, helping you smile and live confidently again.
Led by Dr. Ashwitha Salian, a trusted and experienced clinician, our clinic provides personalized prosthetic rehabilitation combining advanced technology, medical expertise, and compassionate care — helping patients regain natural appearance and functional ability.
What is Prosthetic Rehabilitation?
Prosthetic rehabilitation is a specialized branch of medicine that focuses on restoring missing body parts — such as limbs, facial features, or oral structures — through custom-designed artificial prostheses.
The goal is not only to replace what’s lost, but also to restore normal movement, comfort, speech, chewing, and appearance — ultimately improving quality of life.
At Dr. Ashwitha’s Dental Studio, our approach is holistic: we combine dental, facial, and functional prosthetics to achieve complete rehabilitation.
Facial & Oral Prosthetic Rehabilitation (Maxillofacial Prosthodontics)
At Dr. Ashwthas Dental Studio, we provide advanced Maxillofacial Prosthodontic rehabilitation for patients with facial or oral defects caused by birth conditions, cancer, trauma, or stroke. Our custom prosthetics restore function, appearance, and confidence.
1. Cosmetic & Aesthetic Rehabilitation
We restore facial symmetry and aesthetics with:
Skin-toned silicone prosthetics for scars or burns
Realistic ear, nose, or eye replacements
Custom tone matching for seamless blending
Enhancing natural beauty and confidence
2.Advanced Ear Prosthetic Rehabilitation
Customized silicone ear prosthetics to restore natural appearance and symmetry.
3D scanned and color-matched for realism
Lightweight, comfortable, and secure fit
Made from biocompatible, durable materials
Restores facial balance and confidence
3. Finger Prosthetic Rehabilitation
Customized silicone finger prosthetics that restore natural look and function.
3D scanned and color-matched for realism
Lightweight, durable, and comfortable
Enhances grip, balance, and confidence
Made from biocompatible materials
4. Advanced Prosthetic Eye Rehabilitation
Custom-designed ocular prosthetics that restore natural appearance and confidence.
3D scanned for precise fit and lifelike detail
Matches natural eye color, shape, and movement
Made from biocompatible, medical-grade materials
Restores facial harmony and emotional well-being
5. Prosthetic Nose Rehabilitation
Custom-made nasal prosthetics that restore natural appearance and confidence.
3D scanned for precise fit and lifelike look
Skin-toned, medical-grade silicone for comfort and durability
Secure, easy-to-wear attachment for daily use
Restores facial balance and quality of life
6. Orbital Prosthesis Rehabilitation
Custom-made orbital prosthetics restore natural appearance and confidence after eye or tissue loss.
3D scanned for precise fit and lifelike detail
Medical-grade silicone for comfort and realism
Secure attachment with adhesives or implants
Restores facial balance and emotional well-being
7. Maxillofacial and Facial Prosthetic Rehabilitation
Customized facial prosthetics restoring form, function, and confidence after trauma or surgery.
Realistic prostheses for eye, ear, nose, or jaw
Palatal obturators for speech and swallowing
3D scanned, biocompatible silicone for lifelike results
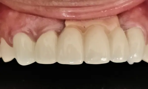
8. Oral and Dental Prosthetic Rehabilitation
Restoring oral function and aesthetics after tooth or jaw loss.
Dental crowns, bridges, dentures, and implants
Full mouth rehabilitation for complete restoration
Implant-supported prostheses for natural, lasting results
9. Advanced Prosthetic Toe Rehabilitation
Custom silicone toe prosthetics that restore natural look, comfort, and mobility.
3D scanned for precise fit and lifelike detail
Skin-toned, medical-grade silicone for durability
Enhances walking balance and footwear comfort
Restores confidence and quality of life
Benefits of Prosthetic Rehabilitation
- Restores lost physical function and independence
- Rebuilds self-confidence and emotional strength
- Improves speech, chewing, and daily comfort
- Prevents physical deformities and posture imbalance
- Enhances overall appearance and social well-being
Aftercare & Maintenance Tips
Clean prostheses gently with recommended cleansers
Avoid exposure to extreme temperatures
Schedule regular follow-ups for adjustments
Store removable prosthetics in protective cases
Maintain proper hygiene and avoid harsh chemicals
Our Rehabilitation Process
1. Comprehensive Evaluation
We begin with a detailed consultation to assess your medical condition, functional requirements, and aesthetic goals.
2. Digital Design & Custom Planning
Using 3D scanning and digital modeling, we create a precise treatment plan and prosthesis design tailored to your anatomy.
3. Fabrication & Fitting
Your prosthesis is crafted from advanced biocompatible materials and carefully fitted for maximum comfort, durability, and natural appearance.
4. Aftercare & Continuous Support
We provide regular follow-ups, maintenance guidance, and emotional support to ensure long-term comfort and confidence.
Why Choose Dr. Ashwitha’s Dental Studio for Prosthetic Rehabilitation in Pune?
- Comprehensive Rehabilitation: From oral and facial restoration to limb and cosmetic prosthetics — all under one roof.
- Expertise You Can Trust: Led by Dr. Ashwitha Salian, an experienced clinician known for precision, compassion, and holistic care.
- Modern Technology: 3D scanning, CAD/CAM design, and medical-grade materials for precise, durable results.
- Personalized Treatment: Every prosthesis is custom-designed to match your needs, appearance, and lifestyle.
- Patient-Focused Care: We ensure emotional support and guidance throughout your rehabilitation journey.
Frequently Asked Questions
1. What is included in prosthetic rehabilitation?
Prosthetic rehabilitation includes oral, facial, and limb prosthetics to restore function, comfort, and appearance for patients affected by injury, disease, or congenital conditions.
2. How long does prosthetic rehabilitation take?
Depending on the complexity, it may take 2 to 6 weeks from consultation to fitting. Advanced technology can reduce fabrication time.
3. Will my prosthesis look natural?
Yes! We use 3D facial scanning, skin-tone matching, and high-grade materials to ensure your prosthesis looks and feels as natural as possible.
4. Are prosthetic rehabilitation services painful?
No, the process is completely painless and minimally invasive. Our goal is to ensure comfort throughout every step of treatment.
5. What is the cost of prosthetic rehabilitation in Pune?
Costs vary depending on the type of prosthesis and complexity.
Facial prosthesis: ₹30,000 – ₹90,000
Limb prosthesis: ₹40,000 – ₹2,00,000
Oral prosthesis: ₹4,000 – ₹50,000
For accurate pricing, schedule a personalized consultation with Dr. Ashwitha Salian.
Your Oral Health Guide Starts Here – Dive into Our Expert Blogs!
Read More
Read More
Testimonials
Watch How We Turn Dental Visits into Confident Smiles!
What Our Patients Say
Book Your Prosthetic Rehabilitation Consultation Today!
Whether it’s restoring your smile, facial structure, or limb function — Dr. Ashwitha’s Dental Studio offers world-class prosthetic rehabilitation services in Pune that help you reclaim your confidence and independence.
